Days
Hours
Minutes
Seconds Until Invisalign® Day!
Happy Invisalign® Day
Teeth Whitening

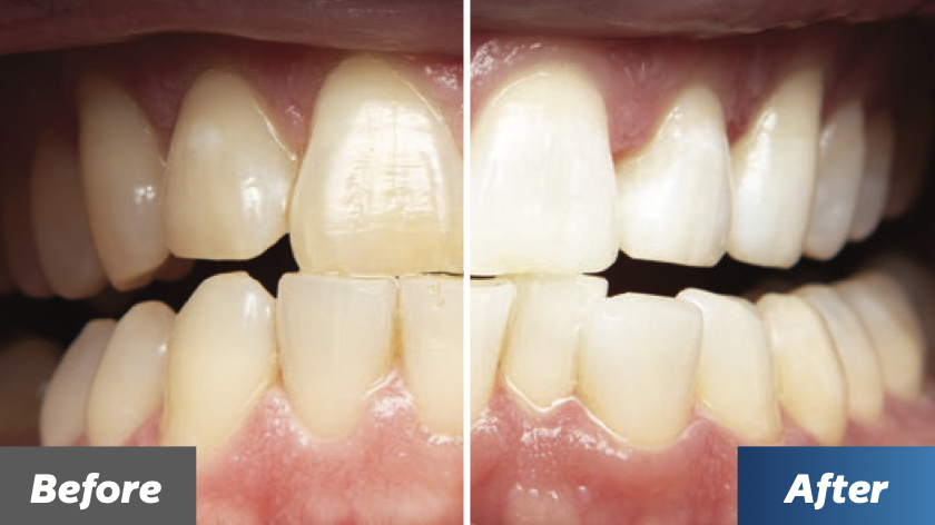
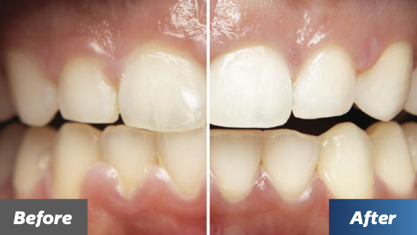
Teeth Whitening in Washington, DC

If your teeth are stained or discolored, you may feel self-conscious about how you look when you laugh and smile, or even when you eat and speak around others. But with teeth whitening, you can feel confident behind your smile. Our team of dentists can whiten your teeth and reverse years of stains. If you are interested in teeth whitening in Washington, DC, call our team to schedule your visit today!

How Does Teeth Whitening Work?

Our team offers both in-office teeth whitening and a take-home whitening system. Both treatments use peroxide to whiten your smile. The main difference is that in-office teeth whitening is performed by one of our dentists, and uses a UV light to activate the whitener for faster results.

Take-home whitening, on the other hand, uses a set of custom-built whitening trays. It takes a few weeks to whiten your teeth, but it’s more convenient allowing you to whiten from the comfort of home. The end results will be just as good as in-office whitening, too.

The In-Office Teeth Whitening Process

In-office whitening from one of our dentists delivers incredible results in just one visit. It’s ideal if you have an upcoming event like a wedding or important business meeting. Often, it’s possible to brighten your smile by up to 5-10 shades in one whitening appointment at our office.

To begin the process, your dentist will clean your teeth, then protect your gums, cheeks, lips, and tongue from the whitener. Then, the whitener will be applied to your teeth and activated with a UV light, boosting its potency. After this, the whitener is rinsed away. This process is repeated until your smile reaches the desired level of brightness. Most people need only one appointment, though some with severe staining may need to come back for a follow-up treatment.

What To Expect From Take-Home Whitening

Take-home whitening lets you brighten your smile from home. To get started, you’ll come to Washington Metro Dental for impressions to be taken of your teeth. These impressions are sent to a dental lab, where a skilled technician will make you a set of whitening trays. Your trays are reusable and will fit over your teeth perfectly to ensure even whitening results. It will take about 2-3 weeks for your trays to be built.

Then, you’ll come back to our office, pick up your trays and whitening products, and begin your whitening treatment at home. Most patients need to whiten their teeth for about an hour per day for 2-3 weeks for the best results, but the instructions given to you by your dentist may differ.

Which Take-Home Whitening Formula Should You Choose?

Wondering which take-home whitening option is right for you? There are two types of take-home whitening gels we recommend—both effective, just tailored to your needs:

  • Hydrogen peroxide: This is the standard whitening formula. You wear your trays for 20 minutes a day for 10-14 days.
  • Carbamide peroxide: If you have sensitive teeth or gum recession, this gentler formula might be a better fit. Instead of short daily sessions, you’ll wear your trays overnight while you sleep.

Both options are safe, effective, and customized to you.

What’s the Difference Between In-Office Whitening and Take-Home Whitening?

Both in-office and at-home whitening are great options; it really just depends on your timeline and preferences.

In-Office Whitening
If you’re looking for fast results, in-office whitening is the way to go. The treatment takes about one hour, and you’ll walk out with a noticeably brighter smile the same day. It’s ideal if you have a special event coming up, like a wedding, photoshoot, or if you just want to get it done without the daily routine and hassle of doing it yourself.

Take-Home Whitening
Take-home whitening offers a more gradual approach. You’ll use custom trays and whitening gel at home over the course of 10 to 14 days. It’s perfect if you’re not in a rush and prefer to whiten your teeth on your own time. Many patients also use at-home trays to maintain their in-office results long-term.

(In this video, Dr. Washington breaks down the key differences)

Which One Should You Choose?
There’s no right or wrong choice—both methods are effective and safe. If you want immediate results, go with in-office. If you’re okay with a slower pace or want to maintain your whitening, at-home works great too. Not sure what’s best for you? We’re happy to walk you through the options.

Will Teeth Whitening Make My Teeth Sensitive?

Most patients will experience at least a little bit of whitening-induced sensitivity after their procedure. The best way to recover from this is to follow the instructions provided to you by your dentist.

You should continue to brush and floss regularly to keep your teeth clean and healthy. Using an anti-sensitivity toothpaste like Sensodyne can be helpful. You may also want to avoid really hot or cold foods and drinks for a few days since these tend to worsen sensitivity.

Tips & Tricks for Teeth Whitening

Thinking about whitening your teeth? Watch this video and don’t skip these simple tips that make a BIG difference:

  • Sensitivity Prep: If you know your teeth are sensitive or you have gum recession, start brushing with Sensodyne toothpaste for two weeks before your whitening treatment. This can significantly reduce sensitivity, whether you’re whitening in-office or using take-home trays.
  • Avoid Staining Foods: What you eat matters. After whitening, try to avoid foods and drinks that stain, like red wine, coffee, tea, pasta sauce, and curries. Whitening opens up the pores of your teeth temporarily, making them more vulnerable to stains.

 

(In this video, Dr. Washington gives you tips and tricks to help maximize your success with whitening.)

Zoom! Whitening Post-Op Instructions:

Click to Download Post-Op Instructions Document

The next 48 hours are important in enhancing and maximizing your whitening results for a long-lasting, bright, and healthy smile.

Spotting: Color Spotting on the teeth may occur after Zoom In-Office Whitening due to temporary dehydration of the teeth. This should diminish within a few days after treatment. The whitening process will continue for 48 hours after treatment.

 

Sensitivity: During the first 24 hours after whitening treatment, some patients can experience some tooth sensitivity or pain. This is normal and is usually mild, but it can be worse in susceptible individuals. Normally, tooth sensitivity or pain following a treatment subsides within 24 hours, but in rare cases can persist for longer periods of time. You may wish to take an over-the-counter pain reliever (one you would use for a headache). Some patients experience sensitivity such as “zingers” or thermal sensitivity 12 to 24 hours after Zoom! whitening. Place the Relief ACP gel (in your take-home bag) on the problem area to help reduce symptoms of sensitivity. Once you receive your customized take-home trays, you can place a small amount of gel in each tooth of your whitening trays and wear the tray for 30-60 minutes. This will help calm the teeth down during sensitive episodes. Brushing your teeth with sensitive toothpaste, such as Sensodyne, or Fluoridex Daily Defense Sensitivity Relief toothpaste for the weeks following the procedure is strongly recommended. Now that your teeth are significantly whiter, there are a few guidelines to help maintain the look of your new smile. The teeth have a protective layer called the protein pellicle. This layer contains the surface dental stains and is removed during Zoom whitening treatments. It takes 24-48 hours for the barrier to fully develop again.

 

For the next 48 hours post-treatment, we recommend avoiding dark staining substances, such as:

  • Red wine, dark sodas (such as Coca-Cola), coffee and tea
  • Berries such as cherries, blueberries, strawberries, dark grapes
  • Tobacco products
  • Red sauces, mustard or ketchup, soy sauce, salsa and other red sauces
  • If it will stain your clothes, it will eventually stain your teeth
  • Colored lipstick
  • Colored mouthwash including PreviDent Fluoride Rinse
  • If your daily homecare involves the use of PerioRx or any Chlorhexidine, please wait 48 hours before continuing the usage of this product.

Additional ways to maintain your smile:

  • Avoid staining-related habits.
  • Use an automated toothbrush like Philips Sonicare.
  • Regular professional dental hygiene care to maintain oral health, and keep staining to a minimum. Use whitening trays for touch-ups as recommended by our dentists.
  • Practice good oral hygiene by tooth brushing, flossing, and tongue cleaning. We will assist you in selecting the products to maintain not only a white smile but a healthy one as well!

Take home Whitening Trays for touch-ups -3 days after Treatment: If your teeth are not too sensitive, try bleaching a few more times with the take home products during the first three to five days after your office visit to maximize your results and attain the whitest shade possible. Store any remaining whitening gel in a cool dry place for later use. Please make sure the custom tray is completely dry. Place a small amount of gel on each of the teeth in the custom tray. Use caution not to overload the tray. Insert the tray over the teeth and gently wipe away any excess gel. Do not leave any gel on the gums because this will irritate your gums. Wear the bleaching trays with the gel for 1 hour. If sensitivity is uncomfortable, stop and reduce the time and/or frequency of treatment. If too uncomfortable, stop altogether. 

Confidently Brighten Your Smile

Are you ready for a whiter smile? Call our team today to take the first step towards a noticeably brighter smile

Scroll to Top